
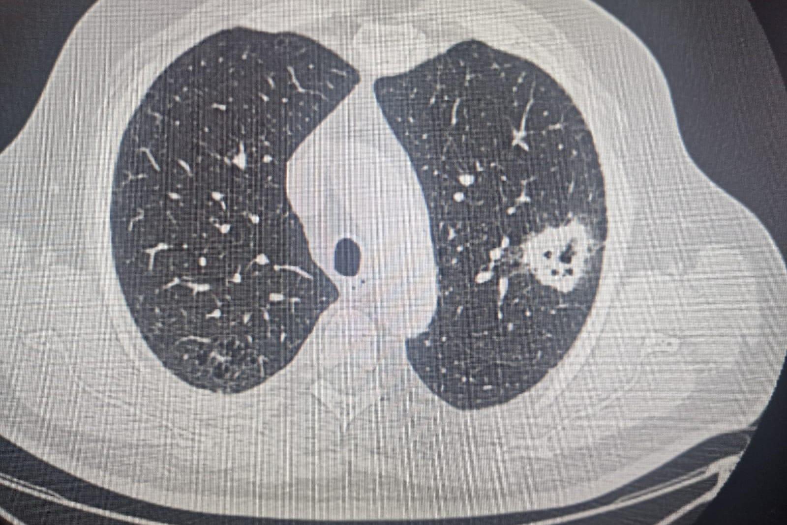
Две опухоли в лёгких: новосибирец три раза заболел раком — как его спаслиМужчина перенес несколько операций
7 ноября, 2025, 12:25
5 242
16
«Меня рвало кровью, а слизистая горела»: королева красоты — о том, как одержала победу в битве за жизньУ нее большие планы на будущее
6 ноября, 2025, 13:30
8 159
19
«Просто мажьте мазью, и шишка уйдет». Как 27-летняя пациентка онкодиспансера борется с раком груди и равнодушиемОт нее отвернулись родные и работодатели, зато на помощь пришли подписчики соцсетей
2 ноября, 2025, 15:00
5 797
351 ноября, 2025, 20:10
9 692
1024 октября, 2025, 13:39
10 345
23
«Никогда так не делайте»: Симоньян рассказала, как заработала себе онкологиюЖурналистка разоткровенничалась о своем здоровье
22 октября, 2025, 12:50
15 563
95
«Мне видео с кладбища прислать?» Как школьникам дали задание, которое многих поставило в тупикВдова инженера — о том, что не так с Днем отца
17 октября, 2025, 11:00
15 268
159
Что за мучительный кашель изводит россиян этой осенью: профессор рассказала о причинах появления тревожного симптомаВрач предупреждает, что это сигнал срочно обратить внимание на здоровье
16 октября, 2025, 15:00
7 311
13
«Руками нащупать невозможно»: как обнаружить рак груди на ранней стадии — 10 вопросов опытному врачуОнколог-маммолог с 20-летним стажем рассказала, что делать, чтобы не пропустить опухоль
11 октября, 2025, 12:30
4 824
14
«Резко стал слух пропадать»: как пациент случайно узнал о раке легких и чему учит его опытДесять лет 75-летний Михаил Пигурнов живет в ремиссии, узнали его историю
6 сентября, 2025, 19:00
4 312
3
Разжижает кровь и помогает печени: новосибирские врачи — о пользе и вреде куркумыСпециалисты раскрыли допустимую суточную норму специи
6 сентября, 2025, 06:00
5 657
1
«Опухоль очень агрессивная»: рак «съедает» звезду «Полицейского с Рублевки» Романа ПоповаЖена актера раскрыла подробности о его здоровье
26 августа, 2025, 19:02
16 592
12
Юная сибирячка обвинила частную клинику в неверном лечении мамы — та мучительно умерлаВ 18 лет Алине Рубановой пришлось стать опекуном младшего брата и главой семьи
24 августа, 2025, 21:40
17 754
80
«Это буквально несколько часов назад случилось». Вдова Ярослава Евдокимова — о последнем желании автора хита «Фантазер»Рассказываем, что стало причиной смерти артиста
22 августа, 2025, 18:30
10 059
14
«Дома было все в крови»: 36-летняя сибирячка умерла от рака — ее дочь обвинила частную клинику в неверном леченииНГС выслушал версии девушки и медцентра, где лечилась ее мама, а также связался с ее лечащим врачом
21 августа, 2025, 07:00
36 675
20117 августа, 2025, 00:00
5 410
15
«Клетки мутируют у всех»: врач — об одном из самых коварных раков, от которого гибнут миллионыДве трети всех раков легкого находят у мужчин
6 августа, 2025, 15:00
6 941
285 августа, 2025, 00:33
7 385
22
Стало известно, в каких районах Омской области чаще болеют ракомУ сельских жителей находят онкологию реже, чем у горожан
27 июля, 2025, 02:00
3 612
5
Любите жареное? 4 опасные привычки в питании, которые могут привести к раку печени, и один полезный продуктОнколог предупредил о возможных рисках
25 июля, 2025, 15:00
3 942
716 июля, 2025, 01:42
4 434
22
«Наши жизни и так на волоске»: в клинике Мешалкина ломается аппарат лучевой терапии — как будут решать проблемуПациенты хотят, чтобы важные процедуры не приходилось пропускать
28 июня, 2025, 15:00
10 504
53
Подавляет аппетит и борется с раком. Ученые назвали орех, который защищает от опухолей в кишечникеЭксперты подтвердили — продукт важно включить в свой рацион
13 июня, 2025, 13:30
8 254
10
Онкологи бесплатно проверят родинки новосибирцев — когда и как записатьсяПодозрительные новообразования отправят на исследование
12 мая, 2025, 10:50
7 896
24
«Вы не наш клиент, вам в онкологию»: как живет девочка, победившая рак, — у нее нашли опухоль размером 16 сантиметровМама и новосибирские врачи боролись за жизнь Алены — боролась и она сама: мужественно и без слез
11 мая, 2025, 11:00
10 879
34
«Мне повезло одной на миллион»: вдова экс-солиста «На-На» Владимира Левкина запела вместо мужаОткровения Маруси Левкиной — о супруге, творчестве и биографической книге
10 мая, 2025, 11:30
5 534
29
Не хотите рано умереть? Ученые объяснили, почему курицу опасно есть каждый деньСамая популярная еда и то оказалась опасной
9 мая, 2025, 13:30
7 567
40
«Бог рассмеётся и скажет, что у него на тебя свои планы»: к матери-одиночке вернулся страшный рак — история борьбы за жизньПять лет назад Лиза Веремейчик вышла в ремиссию, потеряла мужа, научилась жить заново, но болезнь оказалась коварна
5 мая, 2025, 10:00
16 833
181
Особенно опасно для детей и молодых до 22 лет. Как не заболеть раком после компьютерной томографии и какие продукты спасутВысокие дозы радиации после этого обследования могут быть опасны
28 марта, 2025, 15:00
5 829
23
Новую причину возникновения рака у детей нашли ученые — что делать, чтобы ее избежатьВрач объяснила, чем опасны пестициды
12 марта, 2025, 16:45
6 948
9
Хордома и еще три самых редких вида рака. Эксперт рассказала об особенностях их диагностики и леченияОни хуже изучены, чем распространенные злокачественные новообразования
10 марта, 2025, 17:00
6 083
10
Вытеснил рак легкого с третьего места: у новосибирцев стали чаще находить онкологию, характерную только для мужчинУ 73,5% пациентов заболевание выявлено на ранней стадии
10 марта, 2025, 10:15
8 372
19
Нейрохирурги удалили у сибиряка опухоль в полголовы — из-за нее он постоянно был в хорошем настроенииУ мужчины также нашли проблемы с почкой
3 марта, 2025, 14:50
13 333
31
«Способно запустить онкологические процессы». 6 привычек и 10 симптомов рака назвала академикЧасто под удар нас ставит образ жизни, от которого не хочется отказываться
28 февраля, 2025, 13:00
8 623
15
Новосибирские врачи за один день заподозрили рак у 234 человекМедики осмотрели 6 тысяч человек
10 февраля, 2025, 11:00
9 014
5218 декабря, 2024, 11:27
9 826
15
6 болезней, которые доводят до рака. Онколог — о том, на что обратить внимание, и чек-лист обследованийВзаимосвязь между онкологическими недугами и другими болезнями может казаться неочевидной, но это только на первый взгляд
13 декабря, 2024, 13:00
8 885
8
«С его заболеванием так не бывает». Жена Александра Буйнова рассказала о его состоянииСМИ сообщили об ухудшении состояния здоровья певца
26 ноября, 2024, 18:00
12 714
28
«Он любил жизнь и хотел жить». Каким запомнили экс-солиста «На-На» Владимира Левкина его коллеги по группеСвоими воспоминаниями поделились Валерий Юрин, Павел Соколов и Бари Алибасов
18 ноября, 2024, 13:30
6 619
30
Два развода, измена жены и борьба с онкологией. Что известно о жизни и смерти экс-солиста «На-На» Владимира ЛевкинаРассказываем, каким певца запомнила страна
18 ноября, 2024, 04:48
10 420
10





