
Пациент был в ремиссии, но рак снова начал прогрессировать
Жителю Новосибирска трижды провели операцию по удалению раковой опухоли. Об этом сообщили в пресс-службе Министерства здравоохранения региона.
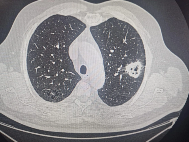
Заведующий онкологическим отделением № 3 Новосибирского областного клинического онкологического диспансера Вадим Козлов рассказал, что у одного из его пациентов выявили рак правого лёгкого три года назад. Врачам удалось сохранить большую часть лёгких — обычно в таких случаях орган удаляют полностью.
В течение следующих двух лет пациент находился под контролем врачей. У мужчины развился рак — на этот раз в левом лёгком. Так как заболевание выявили на очень ранней стадии, операция прошла успешно. Помогло и то, что в первый раз лёгкое удалось сохранить.
«Благодаря тому, что мы первый раз ему сохранили правое легкое, у нас была возможность оперировать на левом. Технически выполнить операцию на единственном легком невозможно. Если мы его отключим, то дышать пациенту будет нечем», — уточнил онколог.
Кроме того, между первыми двумя операциями пациенту удалили щитовидную железу.
В течение года пациент был в ремиссии, но позже рак вновь начал прогрессировать. Сейчас новосибирец находится на химиотерапии, добавил Вадим Козлов.
Напомним, ранее новосибирский онколог назвал причины возникновения рака груди.




















