
Операция длилась 8 часов
Нейрохирурги Центра Мешалкина удалили опухоль мозга у 68-летнего жителя Кемеровской области с одной почкой. У него был целый ряд симптомов, которые долго игнорировали из-за других проблем со здоровьем.
Системный атеросклероз привел к критическому сужению почечной артерии, что уже в ближайшем будущем могло угрожать потерей и второй почки.
— На фоне этого другие изменения в самочувствии и поведении пациента, такие как отсутствие обоняния, ухудшение памяти и зрения, ослабление самокритики, постоянно приподнятое без причины настроение, неконтролируемое мочеиспускание, могли показаться второстепенной проблемой, которая нередко сопутствует обширным сосудистым поражениям, — подчеркнули в Центре Мешалкина.
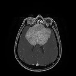
Врачи нашли менингиому диаметром в 8,5 сантиметра, которая сильно сдавливала лобные доли. Настолько большие опухоли встречаются очень редко. Кроме того, по поверхности новообразования и частично в ее капсуле проходили крупные магистральные артерии головного мозга.

Так выглядела опухоль
Новосибирские нейрохирурги боролись за пациента 8 часов. Опухоль оказалась доброкачественной. Врачам удалось не ухудшить состояние почки и помочь восстановить пациенту критичность мышления. У сибиряка даже улучшилось зрение. После реабилитации врачи будут восстанавливать полноценное кровоснабжение почки.
Ранее в Новосибирской областной больнице спасли жизнь 52-летней женщине с большой опухолью в головном мозге.

















